Endokrinologija je grana medicine koja se bavi endokrinim sistemom, koji kontroliše hormone u telu čoveka.
Ginekološki pregled prilično je intiman, više nego rutinski pregled i obuhvata pregled spoljašnih genitalija i vaginalni pregled. Sam pregled je bezbolan i ne traje dugo.
Kardiološki pregled u našoj klinici obavlja Prof dr Nataša S.Marković-Nikolić: specijalista interne medicine-supspecijalist kardiolog.
Kolor dopler je poboljšani oblik Dopler ultrazvučne tehnologije. Kod ove vrste pregleda, različite boje se koriste za označavanje smera krvotoka.
Redovno testiranje krvi, uključujući kompletnu krvnu sliku, važno je za zdravlje. Proverava se nivo komponenti u krvi koji mogu ukazivati na različite zdravstvene probleme ili nedostatke.
Medicina rada štiti zdravlje radnika sprečavanjem profesionalnih bolesti. Pregledi uključuju više specijalnosti i mogu se proširiti dijagnostikom i laboratorijskim testovima.
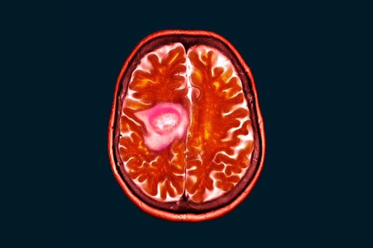
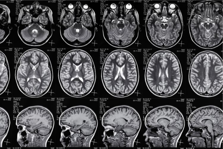
MR koristi magnetno polje i radio talase za detaljne slike tela, bez zračenja. Traje 30-60 minuta i efikasna je za otkrivanje anomalija mozga, tumora, srčanih problema i više.
Magnetna rezonanca glave je bezbolna i detaljna metoda snimanja mozga, koristi se za dijagnostiku neuroloških tegoba. Priprema je jednostavna, a rezultati brzo dostupni.
Magnetna rezonanca kičme uz savremenu opremu i brzo zakazivanje. Idealno rešenje za bol, slabost ili trnjenje u leđima i udovima.
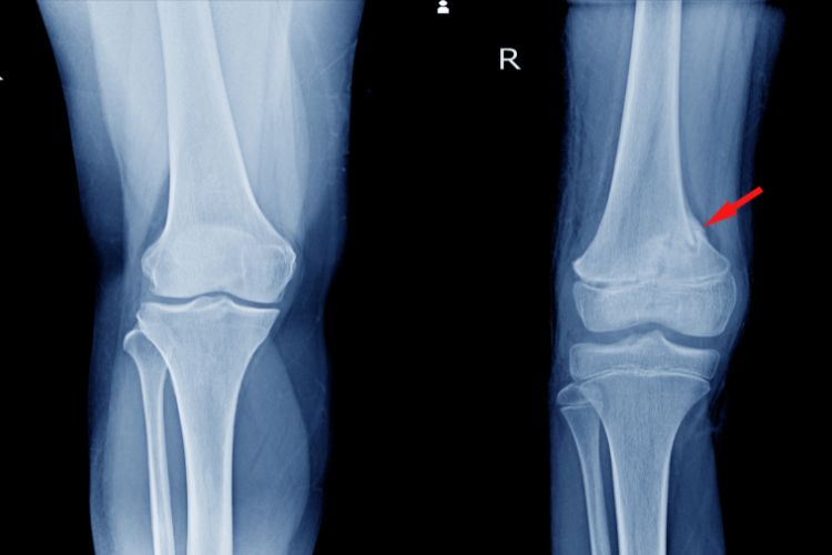
Magnetna rezonanca kolena pruža precizne snimke mekih tkiva i kostiju, omogućava rano otkrivanje oštećenja i bolesti, brza je, bezbolna i ne zahteva oporavak.
Oftalmologija proučava zdravlje oka i vida, uključujući dijagnozu, terapiju, i prevenciju bolesti. Redovni pregledi su ključni, a precizna dijagnoza važna za očuvanje vida i radne sposobnosti.
ORL pregled dijagnostikuje bolesti uha, nosa i grla. Preporučuje se kod tegoba poput sinusnih problema, promene sluha, vrtoglavice i otežanog gutanja. Pregled je bezbolan, traje do sat vremena.
Fizijatrija se bavi dijagnostikovanjem i lečenjem bola povezanog s neuro-muskuloskeletalnim problemima. Dr Gorica Biskupić pruža usluge u našoj klinici koristeći nehirurške metode.
PRP tretman koristi plazmu bogatu trombocitima iz sopstvene krvi za regeneraciju i podmlađivanje kože. Bezbedan je, bez alergija, poboljšava ten, hidrataciju, uklanja bore i leči ožiljke. Preporučuje...
Psihijatrija se bavi dijagnostikom i lečenjem mentalnih poremećaja. Lečenje je fokusirano je na anksiozne i afektivne poremećaje, fobije i psihotične poremećaje.
Psihologija proučava ponašanje i mentalne procese, pomažući pojedincima i društvu. Psiholozi rade u školama, na radu i u zdravstvu, mogu sprovoditi terapije, ali ne prepisuju lekove.
Pulmologija se bavi oboljenjima pluća i respiratornog sistema. Dr Draško Dubljanin u našoj klinici leči stanja kao što su upala pluća, astma i emfizem, koristeći RTG i druge metode.
Specijalistički pregled obuhvata uzimanje detaljne anamneze i klinički pregled. Ustanova Gaj pridaje važnost sticanju pacijentovog poverenja i detaljno informiše o dijagnozi i terapiji.
Ultrazvuk koristi zvučne talase visoke frekvencije za prikaz unutrašnjosti tela bez zračenja i hirurških rezova, idealan za pregled organa, krvnih sudova i fetusa tokom trudnoće.
Multislajsna kompjuterizovana tomografija (MSCT) je dijagnostička metoda koja koristi X zrake za detaljne slojevite prikaze organa. Omogućava brzu, preciznu procenu uz minimalno zračenje i pogodna je...
Magnetna rezonanca jedne regije bez kontrasta Redovna cena 12.950 din. | 8.990 RSD |
Magnetna rezonanca multiparametrijski pregled prostate 1.5T | 19.000 RSD |
Kontrast za magnetnu rezonancu Redovna cena 5.500 din. | 3.300 RSD |
Multislajsni CT skener jedne regije bez kontrasta | 8.900 RSD |
Multislajsni CT skener urografija - MSCT urografija | 19.400 RSD |
Kontrast za CT skener | 3.500 RSD |
Rendgen RTG pluća | 3.500 RSD |
Rendgen RTG abdomena, mastoida, piramide, nosne kosti, sinusa, sakroilijakuma | 3.500 RSD |
Rendgen RTG C kičme sa funkcionalnim snimcima, grudna kost | 3.500 RSD |
Rendgen RTG C, Th, L kičme (1p), rame, ključnjača AP, kuk (1p) | 3.500 RSD |
Rendgen RTG C, Th, L kičme (2p), temporomandibularn zglob | 3.500 RSD |
Rendgen RTG glave (1p), butna kost, koleno i srce AP + LL | 3.500 RSD |
Rendgen RTG kuka (2p) | 3.500 RSD |
Rendgen RTG nadlaktice, podlaktice | 3.500 RSD |
Rendgen RTG šake; potkolenice; skočnog zgloba i stopala | 3.500 RSD |
Rendgen snimanje dve regije | 6.000 RSD |
Mamografija | 4.750 RSD |
Mamografija + UZ dojki | 7.500 RSD |
Mamografija + UZ po izboru (dojke, mekih tkiva vrata, štitaste žlezde, abdomena ili karlice) | 7.500 RSD |
Ultrazvuk abdomena | 4.000 RSD |
Ultrazvuk štitne žlezde | 4.000 RSD |
Ultrazvuk mekih tkiva vrata | 4.000 RSD |
Ultrazvuk dojke | 4.000 RSD |
Ultrazvuk abdomena i male karlice | 5.500 RSD |
Ultrazvučno merenje gustine kostiju: Uzimanje anamneze, postavljanje ultrazvučne sonde na podlakticu, i merenje gustine kostiju. | 3.000 RSD |
4 ultrazvuka po izboru (abdomen, karlica, dojke, meka tkiva vrata ili štitna žlezda) | 8.000 RSD |
Kolor dopler krvnih sudova vrata | 4.500 RSD |
Kolor dopler krvnih sudova ruku | 4.500 RSD |
Kolor dopler krvnih sudova nogu | 4.500 RSD |
Dopler krvnih sudova dve regije po izboru (ruku, nogu ilii vrata) | 6.500 RSD |
Pregled dermatologa | 6.000 RSD |
Pregled dermatologa i dermoskopija | 8.000 RSD |
Pregled endokrinologa, izveštaj, terapija, saveti | 6.800 RSD |
Pregled endokrinologa - docenta, izveštaj, terapija, saveti | 7.500 RSD |
Ultrazvuk štitne žlezde | 4.000 RSD |
Pregled fizijatra | 4.500 RSD |
Pregled gastroenterologa | 4.100 RSD |
Pregled ginekologa | 3.490 RSD |
Kontrolni pregled Odnosi samo na kontrolu do 7 dana od pregleda | 3.500 RSD |
Transvaginalni ultrazvuk | 3.490 RSD |
Kolposkopija | 2.500 RSD |
Paket: Kompletan ginekološki pregled Bimanuelni pregled ginekologa, kolposkopski pregled, papa i vs, palpatorni pregled grudi, UZ male karlice | 4.990 RSD |
Ginekološki paket Kompletni ginekološki pregled, sa genitalnim brisevima: Kompletni ginekološki pregled + CB, VB, Bris na MH, UU i hlamidiju | 8.950 RSD |
Folikulometrija Radi se 4 do 6 folikulometrija po mesečnom ciklusu | 2.800 RSD |
Paket pregleda - priprema za vantelesnu oplodnju Ginekološki pregled, PAP test, kolposkopski pregled grlića materice i UZ male karliceBrisevi: cervikalni i vaginalni bris, bakteriološki bris, bris na Hlamidiju i bakterijsku vaginozu Laboratorijske analize (iz krvi žene): Krvna grupa i Rh faktor, osnovne biohemijske analize, mali faktori koagulacije, HBS antigen, anti HCV, HIV At, VDRL, Ig G i Ig M antitela na Toksoplazmu i Rubelu, hormonski status: FSH, LH, TSH, T3, T4, Prolaktin, Testosteron, Progesteron, Estradiol | 25.950 RSD |
Palpatorni pregled dojki | 2.100 RSD |
Uzimanje brisa | 1.500 RSD |
Paket: Kolposkopija + PAPA + VS | 3.590 RSD |
Paket: PAPA + VS + CB i VB | 3.950 RSD |
Papa test | 2.500 RSD |
Vaginalni sekret (grupa) | 700 RSD |
Humani papiloma virus (HPV) detekcija DNK | 7.900 RSD |
Bris na mikroplazmu | 2.400 RSD |
Bris Bakterijska vaginoza | 700 RSD |
Bris vaginalni i mikrobiološki | 900 RSD |
Bris na hlamidiju | 1.200 RSD |
Bris cervikalni i mikrobiološki | 900 RSD |
Prošireni paket za žene Osnovni ginekološki paket + mamografija; od 45. godine je preporuka , skrining se sprovodi od 50-69. godine | 9.990 RSD |
Prošireni paket za žene Osnovni ginekološki pregled + UZ jendne regije po izboru (UZ dojki, UZ štitaste žlezde ili UZ abdomena) | 7.990 RSD |
Pregled grudnog hirurga | 4.500 RSD |
Pregled vaskularnog hirurga | 5.500 RSD |
Paket: Pregled vaskularnog hirurga sa kolor doplerom (krvnih sudova nogu | ruku | vrata | abdominalne aorte i ilijačnih krvnih sudova | transkranijalnog doplera) | 8.000 RSD |
Kolor dopler kod vaskularnog hirurga pojedinačno po izboru | 4.500 RSD |
Pregled neurohirurga | 8.000 RSD |
Kontrolni pregled neurohirurga | 6.000 RSD |
Pregled neurohirurga po obavljenom MR ili CT snimanju | 6.000 RSD |
Pregled neurohirurga eksperta | 10.000 RSD |
Pregled interniste | 3.950 RSD |
Kontrolni pregled interniste | 2.990 RSD |
Paket: Pregled interniste, EKG, ultrazvuk abdomena i male karlice | 7.000 RSD |
Paket: Pregled kardiologa + EKG | 6.500 RSD |
Paket: Pregled kardiologa + EHO srca | 8.000 RSD |
Holter EKG-a | 4.500 RSD |
Holter pritiska | 4.500 RSD |
Paket: Holter EKG-a i holter pritiska | 7.900 RSD |
Paket: Ultrazvuk srca i dopler vrata | 6.500 RSD |
Paket: Pegled kardiologa sa + EKG + holter pritiska ili holter EKG-a | 8.700 RSD |
Paket: Pregled kardiologa + EKG + UZ srca sa zaključkom, terapijama i savetima | 9.900 RSD |
Paket: Pregled kardiologa sa EKG-om, UZ srca, holter EKG (ili holter pritiska) | 11.900 RSD |
Kolor dopler krvnih sudova vrata, ruku ili nogu | 4.500 RSD |
Pregled lekara opšte prakse | 3.000 RSD |
Pregled nefrologa | 3.990 RSD |
Kontrolni pregled nefrologa | 2.990 RSD |
Paket: Pregled nefrologa i ultrazvuk urinarnog trakta | 7.000 RSD |
Pregled neurologa | 4.500 RSD |
Elektroencefalografija EEG snimanje sa izveštajem i mišljenjem | 8.490 RSD |
Elektroencefalografija (EEG) posle (celonoćne) deprivacije spavanja - odrasli | 8.490 RSD |
EMNG Elektromioneurografija (noge ili ruke) | 7.500 RSD |
EMNG Elektromioneurografija (noge i ruke) | 11.000 RSD |
Klinički pregled oftalmologa Kratka anamneza, određivanje objektivne vidne oštrine na daljinu i blizinu (po potrebi fokometrija i refraktometrija), korekcija vida na dljinu i blizinu, pregled prednjeg segmenta oka (rožnjače, beonjače, dužice, zenice, očnog sočiva) na biomikroskopu, merenje očnog pritiska (intraokularni pritisak - aplanacionom metodom),pregled komornog ugla, pregled očnog dna po potrebi sa širenjem zenica ili na uskim zenicama, davanje dijagnoze na osnovu učinjenih pregleda, saveti za terapiju i saveti za apliciranje leka, odredjivanje datuma kontole po potrebi. | 3.500 RSD |
Kontrolni pregled oftalmologa | 1.750 RSD |
Merenje očnog pritiska (intraokularni pritisak - aplanacionom metodom) | 1.000 RSD |
Paket: Specijalistički ORL pregled, audiometrija, zaključak, terapija i savet | 5.000 RSD |
Specijalistički pregled otorinolarinolaringologa (ORL) Redovna cena: 3590 din. | 3.100 RSD |
Audiometrija Redovna cena: 2.700 din. | 2.100 RSD |
Timpanometrija | 2.000 RSD |
Ispiranje uha | 500 RSD |
Bris uha | 500 RSD |
Bris jezika | 500 RSD |
Bris grla | 500 RSD |
Bris nosa | 500 RSD |
Usluga uzimanja brisa | 500 RSD |
Pregled ortopeda | 4.500 RSD |
Pregled ortopeda eksperta | 6.500 RSD |
Intraartikularna injekcija blokada zglobova sa pregledom ortopeda | 8.950 RSD |
Ultrazvučni pregled, po zglobu | 5.000 RSD |
Pregled psihijatra | 4.500 RSD |
Pregled neuropsihijatra eksperta | 12.000 RSD |
Kontrola neuropsihijatra eksperta | 8.000 RSD |
Pulmološki paket - specijalistički pregled, spirometrija, zaključak, savet, terapija | 6.800 RSD |
Kontrolni pregled pulmologa (do 7 dana) | 4.800 RSD |
Spirometrija | 2.700 RSD |
Baby BOTOX - Jedna regija | 9.600 RSD |
Biorevitalizacija - Tretman lica | 14.400 RSD |
Biorevitalizacija - Tretman lica i vrata | 19.200 RSD |
Biorevitalizacija - Tretman lica, vrata i dekoltea | 24.000 RSD |
BOTOX - Jedna regija | 18.000 RSD |
BOTOX - Predeo pazuha protiv znojenja | 51.600 RSD |
BOTOX - Tri regije | 30.000 RSD |
BOTOX - Za bore iznad usana | 4.800 RSD |
Čišćenje lica ultrazvučnom špatulom | 3.500 RSD |
Dubinsko čišćenje lica i vitaminski tretman | 2.500 RSD |
Genosys biološki tretmani sa nanoserumima | 5.000 RSD |
Genosys SNOWCELL tretman (tretman vit.C) | 7.000 RSD |
Hijaluronski filer - JUVEDERM, TEOSYAL, RESTYLANE (1 ml) | 25.600 RSD |
Hijaluronski filer - JUVEDERM, TEOSYAL, RESTYLANE (2 ml) | 43.200 RSD |
Hijaluronski filer - STYLAGE FILER (1 ml) | 21.600 RSD |
Kiseonik tretman - Genosys | 7.000 RSD |
Lipoliza - Podbradak - 1 tretman | 9.000 RSD |
Lipoliza - Podbradak - 2 tretman | 18.000 RSD |
Lipoliza - Podbradak - 3 tretman | 25.200 RSD |
Mezoterapija - Tretman kose | 8.400 RSD |
Mezoterapija - Tretman lica | 9.200 RSD |
Mezoterapija - Tretman lica i vrata | 12.800 RSD |
Mezoterapija - Tretman lica, vrata i dekoltea | 16.400 RSD |
Mezoterapija - Tretman protiv celulita | 9.600 RSD |
Mezoterapija - Tretman protiv podočnjaka | 6.000 RSD |
PRP - Tretman kose | 18.000 RSD |
PRP - Tretman lica | 22.800 RSD |
PRP - Tretman lica, vrata i dekoltea | 28.800 RSD |
Topljenje filera - Hijaluronidaza | 8.500 RSD |
Tretman voćnim kiselinama - Genosys | 6.000 RSD |
Aktivirano parcijalno tromboplastinsko vreme (aPTT) | 370 RSD |
Alanin aminotransferaza (ALT) | 170 RSD |
Albumin | 170 RSD |
Alfa - fetoprotein (AFP) | 1.050 RSD |
Alkalna fosfataza (ALP) | 170 RSD |
Alkalna fosfataza, placentalna (PLAP) | 5.200 RSD |
Amilaza, alfa (Alfa - amilaza) | 480 RSD |
Amilaza, pankreasna (Pankreasna amilaza) | 550 RSD |
Anti faktor Xa aktivnost (anti - Xa) | 2.150 RSD |
Antigen karcinoma skvamoznih ćelija (SCC) | 4.000 RSD |
Antitela na receptor TSH (anti - TSH receptor At, TRAK) | 2.100 RSD |
Antitela na tireoglobulin (anti - TG) | 1.290 RSD |
Antitela na tireoidnu peroksidazu (anti - TPO) | 1.290 RSD |
Antitela na tumor supresor protein p53 | 3.800 RSD |
Aspartat aminotransferaza (AST) | 165 RSD |
Beta - 2 - Mikroglobulin | 1.250 RSD |
Bilirubin, direktan | 170 RSD |
Bilirubin, ukupni | 170 RSD |
C - reaktivni protein (CRP) | 650 RSD |
Celokupan pregled urina sa sedimentom | 340 RSD |
Cistatin C | 2.000 RSD |
Citokeratin 19 fragmenti (Cyfra 21 - 1) | 1.600 RSD |
D - dimer | 1.950 RSD |
Fenobarbital | 1.600 RSD |
Feritn | 1.200 RSD |
Fibrinogen | 250 RSD |
Gama - glutamiltransferaza (GGT) | 165 RSD |
Glikozilirani hemoglobin A1c (HbA1c) | 990 RSD |
Glukoza | 135 RSD |
Gvožđe | 200 RSD |
HE4 | 2.600 RSD |
HER - 2/n protein | 6.000 RSD |
Hloridi | 170 RSD |
Holesterol | 170 RSD |
Holesterol HDL | 170 RSD |
Holesterol LDL | 170 RSD |
Hromogranin A (CgA) | 2.400 RSD |
Kalcijum, ukupni | 170 RSD |
Kalcitonin | 1.450 RSD |
Kalijum | 170 RSD |
Karbamazepin | 1.150 RSD |
Karcino - embrionalni antigen (CEA) | 1.100 RSD |
Karcinoma antigen 125 (CA125) | 1.490 RSD |
Karcinoma antigen 15 - 3 (CA15 - 3) | 1.500 RSD |
Karcinoma antigen 19 - 9 (CA19 - 9) | 1.490 RSD |
Karcinoma antigen 50 (CA 50) | 2.700 RSD |
Karcinoma antigen 72 - 4 (CA 72 - 4) | 1.470 RSD |
Kompletna krvna slika 5 part diff | 400 RSD |
Kreatin kinaza (CK) | 280 RSD |
Kreatin kinaza, izoenzim CK - 2 (CK - MB) | 450 RSD |
Kreatinin | 170 RSD |
Krvna grupa RhD | 1.850 RSD |
Laktat dehidrogenaza (LDH) | 170 RSD |
Lamotrigin | 4.200 RSD |
Lipaza | 580 RSD |
Magnezijum | 170 RSD |
Mokracna kiselina | 170 RSD |
Nagalase (alfa - N - acetilgalaktozaminidaza) | 18.000 RSD |
Natrijum | 170 RSD |
Neopterin (limfom, leukemija) | 4.500 RSD |
Neuron specifična enolaza (NSE) | 1.520 RSD |
Nezasićeni kapacitet vezivanja gvožđa (UIBC) | 210 RSD |
Prokalcitonin | 2.600 RSD |
Prostatični specifični antigen, slobodan (fPSA) | 1.250 RSD |
Prostatični specifični antigen, ukupan (PSA) | 1.100 RSD |
Protein S - 100 | 3.200 RSD |
Proteini, ukupni | 170 RSD |
Protrombinsko vreme | 360 RSD |
Sedimentacija eritrocita | 160 RSD |
Test oralne tolerancije glukoze (OGTT) 75g | 1.300 RSD |
Tireoglobulin (TG) | 1.290 RSD |
Tireostimulirajuci hormon (TSH) | 660 RSD |
Tiroksin slobodan (fT4) | 690 RSD |
Tiroksin ukupan (T4) | 660 RSD |
Tkivni polipeptidni antigen (TPA) | 5.500 RSD |
Totalni kapacitet vezivanja gvožđa (TIBC) | 210 RSD |
Transferin | 850 RSD |
Trigliceridi | 180 RSD |
Trijodtironin slobodan (fT3) | 690 RSD |
Trijodtironin, ukupan (T3) | 660 RSD |
Trombinsko vreme (TT) | 400 RSD |
Troponin I (TnI) | 1.600 RSD |
Tumoru pridruženi tripsin inhibitor (TATI) | 3.600 RSD |
UBC | 3.200 RSD |
Urea | 170 RSD |
Urinokultura (urin bakteriološki) | 580 RSD |
Valproicna kiselina | 1.700 RSD |
Vreme koagulacije | 170 RSD |
Vreme krvarenja | 170 RSD |
Neurologija je medicinska disciplina koja se bavi dijagnostikom i lečenjem oboljenja nervnog sistema, uključujući mozak, kičmenu moždinu i periferne nerve. Neurolozi koriste razne dijagnostičke metode, poput MRI i CT skenera, da identifikuju stanja poput moždanog udara, epilepsije i migrena. Tretmani uključuju lekove, fizikalnu terapiju i, po potrebi, hirurške intervencije. Više
Meningitis je retka infekcija koja pogađa membrane oko mozga i kičmene moždine, s potencijalno... Više
Cistitis je infekcija mokraćne bešike uzrokovana najčešće bakterijama poput ešerihije koli. ... Više

















