Ova stranica nudi pouzdane medicinske članke koje pripremaju lekari Zavoda Gaj.
Tekstovi pokrivaju razne teme, pružajući čitljivost i podršku za bolje razumevanje zdravlja.

Šta je i kako izgleda pregled u abdominalnoj hirurgiji?
Abdominalna hirurgija
Abdomen sadrži vitalne organe povezane s varenjem i eliminacijom otpada. Abdominalna hirurgija rešava složene bolesti. Prevencija uključuje...
Adenom jetre: simptomi, dijagnoza i lečenje
Adenom jetre
Adenom jetre je benigni tumor koji može izazvati komplikacije. Lečenje zavisi od veličine i simptoma: konzervativno, hirurški ili minimalno invazivno....
Ahalazija: Simptomi i dijagnoza
Šta je ahalazija?
Ahalazija je poremećaj pokretljivosti jednjaka, uzrokovan nemogućnošću opuštanja LES-a. Simptomi uključuju disfagiju i gubitak težine. Lečenje je...
Aksilarna limfadenopatija: Dijagnoza i lečenje
Šta je aksilarna limfadenopatija?
Aksilarna limfadenopatija predstavlja uvećane limfne čvorove ispod pazuha, najčešće zbog infekcija ili benignih uzroka, ali ponekad...
Aneurizma abdominalne aorte: uzroci, simptomi i mogućnosti lečenja
Šta je aneurizma abdominalne aorte?
Aneurizma abdominalne aorte je opasno uvećanje aorte u abdomenu. Faktori rizika uključuju pušenje i starost. Dijagnoza se vrši...
Aneurizma aorte: uzroci, simptomi i lečenje
Šta je aneurizma aorte?
Aneurizma aorte je slabost u zidu aorte, često uzrokovana pušenjem, genetikom ili visokim pritiskom. Može biti opasna ako pukne. Lečenje...
Angiofibrom: Simptomi i dijagnostika
Šta je angiofibrom?
Angiofibrom je benigni tumor, često u nazofarinksu adolescenata. Simptomi su krvarenje iz nosa i otežano disanje. Terapija uključuje hirurgiju,...
Angiosarkom: Uzroci, simptomi i lečenje
Šta je angiosarkom?
Angiosarkom je retka vrsta raka koja se razvija u krvnim i limfnim sudovima. Može se pojaviti bilo gde u telu, često na glavi ili vratu. Lečenje...
Lečenje i prevencija anomalija krvnih sudova u mozgu
Šta su anomalije krvnih sudova mozga?
Anomalije krvnih sudova mozga su abnormalne vaskularne strukture koje mogu izazvati simptome kao što su glavobolje, napadi,...
Uzroci, simptomi i tretmani apscesa pluća
Šta je apsces pluća?
Apsces pluća je šupljina ispunjena gnojem nastala zbog infekcije. Javlja se zbog aspiracije, često kod alkoholičara. Simptomi su kašalj,...
Šta je Akutni Respiratorni Distres Sindrom (ARDS)?
Šta je ARDS?
Sindrom akutnog respiratornog distresa (ARDS) je ozbiljno stanje kod kojeg tečnost ispunjava alveole u plućima, smanjujući nivo kiseonika u krvi....
Dijagnoza i lečenje: vodič kroz stenozu plućne arterije
Šta je arterija?
Stenoza plućne arterije je suženje arterije koja povezuje srce i pluća, često uzrokovano urođenim manama. Simptomi uključuju šum u srcu i probleme s...
Ascites: Dijagnoza i metode lečenja
Ascites
Ascites je nakupljanje tečnosti u abdomenu često uzrokovano cirozom zbog alkohola. Leči se dijetom, diureticima, punkcijom i drugim procedurama; prevencija...
Atelektaza: Vodič kroz respiratorne komplikacije
Šta je atelektaza?
Atelektaza je stanje kada pluća ne mogu da se prošire pravilno, što otežava disanje. Može biti opstruktivna ili neopstruktivna, a uzroci uključuju...
Atipična pneumonija: Prepoznavanje i lečenje
Šta je atipična pneumonija?
Atipična pneumonija je blaga upala pluća uzrokovana raznim mikroorganizmima. Simptomi variraju, a dijagnostika uključuje rendgen i...
Atrofija bubrega: Uzroci, simptomi i lečenje
Šta je Atrofija bubrega?
Atrofija bubrega je smanjenje veličine i funkcije bubrega, uzrokovano raznim stanjima. Ključna je pravovremena dijagnoza i lečenje osnovnih...
Simptomi, dijagnostika i lečenje Bekerove ciste
Šta je Bekerova cista?
Bekerova cista, otok ispunjen tečnošću na zadnjem delu kolena, često nastaje zbog otoka sinovijalne tečnosti. Dijagnoza uključuje klinički...
Benigni Tumori: Simptomi, dijagnostika i tretmani
Šta su benigni tumori?
Benigni tumori pluća su nekancerogeni i sporo rastu. Vrste uključuju hamartome, bronhijalne adenome i papilome. Dijagnostika se vrši kroz...
Bronhiektazija: Dijagnoza, lečenje i život sa stanjem
Šta je bronhiektazija?
Bronhiektazija je ozbiljno stanje koje uzrokuje hronični kašalj i gnojno iskašljavanje. Dijagnoza uključuje CT skeniranje pluća, a tretman se...
Prevencija i lečenje bolesti bubrega
Šta su bubrezi?
Bubrežne ciste su tečnostima ispunjene strukture u bubrezima. Mogu biti benigne i bez simptoma ili maligne. Simptomi i tretmani variraju, uključujući...
Cervicitis: Uzroci, simptomi i tretmani
Šta je cervicitis?
Cervicitis je zapaljenje grlića materice, često uzrokovano infekcijama ili iritacijama. Može izazvati simptome kao što su abnormalni sekret i bol....
Uzroci, simptomi i lečenje ciroze jetre
Šta je ciroza jetre?
Ciroza je ožiljak na jetri zbog dugotrajnog oštećenja. Uzroci uključuju alkohol, hepatitis C i masnu jetru. Simptomi su slabi u početku, ali...
Vodič kroz cistitis: Uzroci, simptomi i prevencija
Cistitis
Cistitis predstavlja upalu mokraćne bešike najčešće izazvanu bakterijama, posebno ešerihijom koli. Češće pogađa žene zbog kraće uretre, a simptomi uključuju...
COVID-19: Osnovne informacije i simptomi
COVID-19 – Sve što trebate da znate o novom virusu
COVID-19 izaziva SARS-CoV-2, prenosi se kapljično među ljudima. Simptomi variraju, a rizik je veći za starije i...
Dijabetes: Uzroci, simptomi i tretmani
Šta je dijabetes melitus?
Dijabetes melitus je grupa metaboličkih bolesti koje karakteriše visoki nivo šećera u krvi, uzrokovani defektom u insulinu ili njegovom...
Šta je disekcija aorte i kako se leči?
Šta je disekcija aorte?
Aorta je najveći krvni sud, a njena disekcija je ozbiljno stanje. Visok pritisak i genetske anomalije su faktori rizika. Dijagnostikuje se CT...
Kako prepoznati i tretirati divertikulum jednjaka?
Šta je divertikulum jednjaka?
Divertikulum jednjaka je retko stanje gde se kesice formiraju u jednjaku, izazivajući simptome kao što su problemi s gutanjem i...
Razumevanje Edema pluća: Uzroci, simptomi i lečenje
Šta je edem pluća?
Plućni edem je nakupljanje tečnosti u plućima, otežava disanje i može biti akutni ili hronični. Uzroci uključuju srčane probleme i infekcije....
Šta je EEG snimanje i kako funkcioniše?
Elektroencefalografija - EEG snimanje
EEG snimanje omogućava procenu električne aktivnosti mozga, koristi se za dijagnostiku epilepsija, gubitaka svesti, glavobolja i...
Encefalitis: Uzroci, simptomi i lečenje
Encefalitis
Encefalitis je upala mozga uzrokovana virusima, bakterijama, autoimunim reakcijama ili parazitima. Simptomi uključuju glavobolju, groznicu, konfuziju i...
Endometrioza jajnika: Uzroci i simptomi
Šta je endometrioza jajnika?
Endometriom jajnika je cista uzrokovana endometriozom na jajniku. Simptomi uključuju bol i neplodnost, a lečenje varira od analgetika,...
Kako prepoznati i lečiti ezofagitis
Šta je ezofagitis?
Ezofagitis je zapaljenje jednjaka uzrokovano infekcijama ili iritacijom. Simptomi uključuju bolno gutanje i gorušicu. Lečenje zavisi od uzroka, a...
Vodič kroz fibroadenome: uzroci, simptomi i lečenje
Šta je fibroadenom?
Fibroadenom je benigni tumor dojke, kategorisan po veličini i rastu. Može zahtevati praćenje ili hirurško uklanjanje ako je velik. Dijagnoza...
Fibrotoraks: Uzroci, simptomi i tretmani
Šta je fibrotoraks?
Fibrotoraks je stanje karakterisano zadebljanjem i stvaranjem ožiljaka na pleuralnoj sluznici pluća, uzrokujući otežano disanje i bol. Dijagnoza...
Kako se dijagnostikuje i leči fraktura rebara?
Šta je fraktura rebara?
Fraktura rebra je prelom kostiju u grudnoj šupljini. Dijagnostikuje se rendgenski, CT, MR. Simptomi uključuju bol pri disanju. Liječenje:...
Razumevanje gastritisa: Uzroci, simptomi i tretmani
Šta je gastritis?
Gastritis je upala sluznice želuca, često uzrokovana H. pylori infekcijom, lekovima ili stresom. Simptomi uključuju bol u stomaku i mučninu....
Gastroenterologija: Zdravlje digestivnog trakta i njegov značaj
Šta je gastroenterologija?
Gastroenterologija se bavi dijagnostikom i lečenjem problema digestivnog trakta i žuči. Pregledi omogućavaju ranu dijagnostiku bolesti i...
Razumevanje i prevencija genitalnih infekcija
Genitalne infekcije
Vaginalne infekcije su česte, posebno leti, usled faktora kao što su kupališta i promena partnera. Simptomi uključuju svrab, iritaciju i...
GIST: Vodič kroz gastrointestinalne stromalne tumore
Šta je gastrointestinalni stromalni tumor (GIST)?
GIST je retki tumor digestivnog trakta, često povezan s mutacijama gena KIT i PDGFRA. Simptomi mogu uključivati bol...
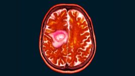
Glioblastom: Uzroci, simptomi i mogućnosti lečenja
Šta je glioblastom (GBM)?
Glioblastom je agresivni tumor mozga s raznim simptomima. Uzroci su različiti, a faktori rizika uključuju starost i genetske...
Razumevanje Hašimoto sindroma: Simptomi, uzroci i lečenje
Šta je Hashimoto?
Hašimotova bolest je autoimuna bolest štitne žlezde, koja vodi do hipotireoze. Simptomi uključuju umor, dobijanje na težini i depresiju....
Hepatomegalija: razumevanje uvećanja jetre i njenog uticaja na zdravlje
Hepatomegalija
Jetra je vitalni organ koji se može uvećati usled različitih bolesti. Simptomi uključuju umor i žutu boju kože. Lečenje zavisi od uzroka i može...
Hidropneumotoraks: Simptomi i lečenje
Šta je Hidropneumotoraks?
Hidropneumotoraks je ozbiljno stanje akumulacije vazduha i tečnosti u pleuralnom prostoru, što ometa disanje. Simptomi su bol u grudima i...
Vodič kroz hiperplaziju štitne žlezde: uzroci, simptomi i lečenje
Šta je hiperplazija štitne žlezde?
Hiperplazija štitne žlezde podrazumeva rast žlezde uzrokovan različitim faktorima. Dijagnoza uključuje kliničke preglede i...
Razumevanje hipertenzije: uzroci, simptomi i lečenje
Šta je hipertenzija?
Hipertenzija (pritisak >140/90 mmHg) je često hronično stanje s blagim simptomima. Uzrokovana nasleđem, stilom života. Može izazvati ozbiljne...
Hronična opstruktivna bolest pluća: uzroci, simptomi i lečenje
Šta je HOBP – hronična opstruktivna bolest pluća?
Hronična opstruktivna plućna bolest (HOBP) uzrokuje otežano disanje usled pušenja, izloženosti dimu ili...
Holangitis: Vodič kroz dijagnozu i lečenje
Holangitis
Holangitis je upala žučnih kanala, opasan po zdravlje. Postoje tri vrste: akutni, primarni bilijarni i primarni sklerozirajući. Lečenje uključuje drenažu,...
Holecistitis: Kako prepoznati i lečiti upalu žučne kese
Šta je holecistitis?
Holecistitis je upala žučne kese koje može biti akutna ili hronična. Uzrokuju ga najčešće kamen u žuči i infekcije. Lečenje uključuje infuzije,...
Holter: Kako funkcioniše i zašto je važan?
Šta je holter?
Holter monitor je prenosivi uređaj koji kontinuirano meri EKG aktivnosti do 48 sati. Pomaže u dijagnostikovanju problema sa srčanim ritmom i...
Ileus: Dijagnoza i lečenje
Ileus
Ileus je poremećaj peristaltike creva koji može izazvati opstrukciju. Uzrokovan operacijom, bolestima ili lekovima, zahteva dijagnozu i lečenje, od ishrane do...
Uzroci i simptomi plućnog Infarkta
Šta je infrakt pluća?
Infarkt pluća je ozbiljno stanje uzrokovano opstrukcijom krvnih sudova, često plućnom embolijom. Simptomi uključuju kašalj, bol i otežano...
Iščašenje kuka: Uzroci, simptomi i lečenje
Šta je iščašenje kuka?
Iščašenje kuka je stanje gde femur izlazi iz acetabuluma kuka, najčešće zbog traume. Simptomi uključuju bol i nemogućnost pokreta kuka....
Razumeti ishemiju mozga: uzroci, simptomi i lečenje
Šta je ishemija mozga?
Ishemija mozga je smanjen dotok krvi u mozak, uzrokujući simptome poput gubitka motorike, govora i vida. Uzroci su tromboza, embolija i...
Kalcifikacija u dojkama: uzroci, simptomi i dijagnoza
Šta je kalcifikacija u dojkama?
Kalcifikacije u dojkama su male naslage kalcijuma, često benigne i otkrivaju se mamografijom. Mogu indikovati rani rak, pa su ponekad...
Uzroci i tretmani kalkuloze bubrega
Šta je kalkuloza bubrega?
Bubrežni kamenci su čvrste naslage koje nastaju u bubrezima. Simptomi uključuju jak bol, krv u urinu, mučninu. Lečenje može uključivati...
Simptomi i dijagnostika kalkuloze mokraćne bešike
Šta je kalkuloza mokraćne bešike?
Kalkuloza mokraćne bešike nastaje akumulacijom minerala zbog nepotpunog pražnjenja bešike. Može izazvati bol, promene u mokrenju...
Karcinom dojke: Prevencija, dijagnoza i mogućnosti terapije
Šta je karcinom dojke?
Karcinom dojke je najčešća maligna bolest žena, a rani pregledi su ključni za izlečenje. Faktori rizika uključuju genetiku, način života i...
Karolijeva bolest: Dijagnoza i lečenje
Šta je karolijeva bolest
Karolijeva bolest je retka urođena bolest žučnih puteva u jetri, može izazvati simptome poput žutice i umora. Dijagnoza uključuje testove, a...
Razumevanje koksartroze: Uzroci, simptomi i tretmani
Šta je koksartroza?
Koksartroza, osteoartritis kuka, je degenerativna bolest zgloba, praćena bolom i ukočenošću. Uzroci uključuju povrede i genetske faktore. Lečenje...
Kolposkopija i PAPA: Vodič kroz ginekološke preglede
Kolposkopija i PAPA test
Kolposkopija ispituje grlić materice, vaginu i vulvu mikroskopom, kombinuje se sa PAPA testom za 99% tačnost. Preporučuje se godišnje,...
Lekar opšte prakse: Prva linija zdravstvene zaštite
Lekar opšte prakse
Lekar opšte prakse je ključna prva tačka zdravstvenog sistema za dijagnozu, lečenje i prevenciju. Redovni pregledi omogućavaju rano otkrivanje...
Maligni tumor pluća: Dijagnoza i opcije terapije
Maligni tumor pluća
Maligni tumor pluća izaziva simptome kao što su kašalj i bol, različito se leči i dijagnostikuje po stadijumima, uzroka najčešće pušenje, s...
Mastitis: Uzroci, simptomi i lečenje
Šta je mastitis?
Mastitis je upala dojki koja često pogađa dojilje zbog zastoja mleka ili bakterijske infekcije. Simptomi uključuju bolne i crvene dojke, groznicu i...
Meningitis: Uzroci, simptomi i lečenje
Šta je meningitis?
Meningitis je infekcija koja pogađa membrane mozga i kičmene moždine. Simptomi uključuju glavobolju, groznicu i ukočen vrat. Tretman zavisi od...
Mezoteliom: uzroci, simptomi i lečenje
Šta je mezoteliom?
Mezoteliom je agresivni rak povezan s izloženosti azbestu. Pogađa pleuru, peritoneum, perikard ili tuniku vaginalis. Simptomi variraju, a lečenje...
Mijelopatija: Uzroci, Simptomi i Tretmani
Mijelopatija
Mijelopatija je poremećaj kičme izazvan kompresijom kičmene moždine, uzrokujući bol, slabost i probleme s kretanjem. Razlikuje se od radikulopatije i...
Cistične promene u dojkama: Saveti i prevencija
Ciste u dojkama
Cistične promene u dojkama su benigne i često vezane za hormonalne promene. Mogu biti različitih vrsta, a dijagnoza i lečenje zavise od vrste i...
Nefrolitijaza: Vodič kroz bubrežne kamence
Šta je nefrolitijaza?
Nefrolitijaza je stanje u kojem se formiraju bubrežni kamenci, izazivajući bol i druge simptome. Dijagnoza uključuje analize i snimanje, dok...
Dijagnostika i lečenje rektalne neoplazme
Šta je neoplazma rektuma?
Neoplazma rektuma je abnormalni rast tkiva, benigni ili maligni. Simptomi uključuju krv u stolici i bol. Rizični faktori su genetika i loša...
Razumevanje neuroloških oboljenja: Uzroci i simptomi
Šta je neurologija?
Neurologija proučava i leči poremećaje nervnog sistema. Dijagnostika obuhvata MRI, CT, EEG. Lečenje varira: lekovi, fizikalna terapija,...
Dijagnostika i tretman nodusnih promena štitne žlezde
Nodusne promene u štitnoj žlezdi
Nodusne promene u štitnoj žlezdi mogu biti benigne ili maligne, često asimptomatske, a dijagnostikuju se putem testova. Lečenje...
Osteoartritis: Kako prepoznati i upravljati ovim stanjem
Šta je osteoartritis?
Osteoartritis je degenerativna bolest zglobova koja uzrokuje bol i ukočenost. Faktori rizika uključuju starenje, genetiku i težinu. Lečenje...
Pankreatitis: Uzroci, simptomi i lečenje
Šta je pankreatitis?
Pankreatitis je zapaljenje pankreasa s akutnim ili hroničnim simptomima. Uzrok može biti kamen u žuči, alkohol ili drugo. Leči se bolnički, uz...
Funkcija i značaj čašice (patela) u ljudskom telu
Šta je patela?
Fraktura patele je ozbiljna povreda kolena koja zahteva odgovarajuće lečenje, konzervativno ili hirurško, kako bi se obnovila funkcija. Pravovremena...
Šta je perianalna fistula i kako se leči?
Šta je perianalna fistula?
Perianalna fistula je trakt koji povezuje analni kanal sa kožom blizu anusa. Simptomi uključuju iscedak neprijatnog mirisa, iritaciju kože...
Petni trn: Uzroci, simptomi i lečenje
Šta je petni trn?
Petni trn je kalcifikacija na peti koja izaziva bol, upalu i otok. Dijagnostikuje se rendgenom, a lečenje uključuje odmor, hladne obloge, lekove,...
Uzroci i simptomi plućne embolije
Šta je plućna embolija?
Plućna embolija je blokada plućne arterije, obično krvnim ugruškom, što može izazvati ozbiljne simptome poput otežanog disanja i bola u...
Šta je pneumotoraks i kako ga prepoznati?
Šta je pneumotoraks?
Pneumotoraks je stanje u kojem vazduh ulazi između pluća i zida grudnog koša, uzrokujući kolaps. Može biti uzrokovan povredom ili bolestima...
Policistični bubrezi: Uzroci i simptomi
Šta su policistični bubrezi?
Policistični bubrezi su genetsko stanje koje uzrokuje ciste u bubrezima, vodeći do hronične insuficijencije. Postoje dominantni i...
Policistični jajnici: Uzroci, simptomi i tretmani
Šta su policistični jajnici?
Sindrom policističnih jajnika je hronično stanje koje utiče na hormone i plodnost kod žena. Lečenje uključuje promene načina života,...
Polip laringsa: Dijagnoza i lečenje
Šta je polip laringsa?
Polipi glasnih žica, ciste i čvorovi su nekancerozne izrasline koje uzrokuju promene glasa. Prekomerna upotreba glasa je čest uzrok. Terapija...
Polip sinusa: Uzroci, simptomi i tretmani
Polip sinusa
Polipi sinusa su bezbolne formacije u nosu koje mogu izazvati blokadu, probleme sa disanjem, gubitak mirisa i infekcije. Leče se lekovima ili operacijom,...
Razumevanje postkovid sindroma: Posledice i oporavak
Šta je postcovid?
Postcovid sindrom obuhvata dugoročne simptome nakon preležane COVID-19 infekcije, uključujući umor, respiratorne i srčane tegobe, kao i neurološke...
Povrede stopala: Najčešći tipovi i metode oporavka
Šta je povreda mišića i tetiva stopala?
Povrede mišića i tetiva stopala mogu izazvati bol, otok i slabost. Dijagnostikuju se pregledima i slikovnim metodama....
Razumevanje preloma femura: Uzroci, simptomi i tretmani
Prelom femura
Prelom femura je ozbiljna povreda koja često zahteva hirurški tretman. Može biti različitih vrsta, kao što su poprečni, kosi ili otvoreni prelomi....
Prelom ključne kosti: Vodič kroz simptome i oporavak
Šta je prelom ključne kosti
Prelom ključne kosti je često izazvan padom, direktnim udarcem i može uzrokovati bol, oticanje i ograničenu pokretljivost. Lečenje...
Uzroci i posledice preloma kuka
Šta je prelom kuka?
Prelom kuka dešava se kada se gornji deo butne kosti slomi, često zbog pada ili nesreće. Češći je kod starijih osoba. Lečenje uključuje...
Prelom lopatice: Simptomi i metode lečenja
Šta je prelom lopatice?
Prelom lopatice je retka i bolna povreda koja ometa svakodnevne aktivnosti. Može zahtevati operaciju ako je fraktura pomerena. Lečenje često...
Prelom stopala: Vodič za dijagnozu i oporavak
Šta je prelom stopala?
Prelom stopala može biti od sitnih pukotina do težih lomova. Simptomi uključuju bol, otok i poteškoće u hodanju. Lečenje uključuje...
Kako se zaštititi od COVID-19: Vodič za prevenciju
Prevencija i mere zaštite – kako izbeći zarazu COVID-19?
Pridržavanje preventivnih mera, kao što su nošenje maske, higijena ruku i održavanje distance, ključno je...
Šta je prostata?
Šta je prostata?
Pod mokraćnim mehom se nalazi muška žlezda, poznata kao prostata, koja ima funkciju proizvodnje seminalne tečnosti. Ova žlezda igra ključnu ulogu u...
Sinusitis: Uzroci, simptomi i metode lečenja
Šta je sinusitis?
Paranazalni sinusi su šuplje oblasti u licu obložene sluzokožom, a sinusitis je upala ovih područja, često izazvana infekcijama ili alergijama....
Skolioza: Uzroci, simptomi i tretman
Šta je skolioza?
Skolioza je bočna zakrivljenost kičme sa simptomima kao što su neravna ramena i neujednačen struk. Dijagnoza uključuje fizikalni pregled i rendgen,...
Značaj spirometrije u dijagnostici respiratornih problema
Šta je spirometrija?
Spirometrija je test merenja disajnog kapaciteta pluća. Koristi se za dijagnostiku stanja kao što su astma, HOBP, plućna fibroza, ili za...
Spondiloza: Uzroci i simptomi
Šta je spondiloza?
Spondiloza je degenerativna bolest diska koja najčešće pogađa vrat i donji deo leđa. Uzroci uključuju starenje, gojaznost i povrede. Lečenje...
Srce: Osnovna funkcija i značaj u ljudskom organizmu
Šta je srce?
Tumori srca mogu biti benigni ili maligni. Primarni srčani tumori su retki, dok su sekundarni češći. Simptomi variraju, a dijagnoza se postavlja putem...
Steatoza jetre: Uzroci, simptomi i tretmani
Šta je steatoza jetre?
Steatoza jetre označava višak masti u jetri, a faktori rizika uključuju gojaznost i konzumiranje alkohola. Dijagnoza se postavlja...
Stenoza traheje: Uzroci, simptomi i lečenje
Šta je stenoza traheje?
Stenoza traheje je suženje disajnog puta između govorne kutije i pluća, uzrokovano povredom ili bolešću. Lečenje može uključivati lasersku...
Teratom jajnika: Uzroci i simptomi
Šta je teratom jajnika?
Ovarijalni teratom je tumor jajnika koji može biti benigni ili maligni. Simptomi su često nepovreda, ali mogu uključivati bol i nadutost....
Tuberkuloza: Uzroci, simptomi i lečenje
Šta je tuberkuloza?
Tuberkuloza je zarazna bolest koju izaziva bakterija Mycobacterium tuberculosis, najčešće pogađa pluća. Prenosi se vazduhom, dijagnostikuje...
Tumor dojke: Uzroci, simptomi i tretmani
Šta je tumor dojke?
Tumor dojke može biti benigni ili maligni. Benigni obično nisu opasni, dok maligne vrste mogu da metastaziraju. Simptomi uključuju kvržice i...
Tumorske promene jajnika: Uzroci, simptomi i lečenje
Šta su tumorske promene jajnika?
Tumorske promene jajnika uključuju abnormalnosti koje mogu biti benigne ili maligne, izazvane genetikom, hormonalnim promenama i...
Simptomi, dijagnoza i lečenje tumora kože
Šta je tumor kože?
Tumor kože može biti benigni ili maligni. Maligni uključuju bazocelularni i planocelularni karcinom, te melanom. Rano otkrivanje i zaštita od UV...
Tumor larinksa: Uzroci, simptomi i lečenje
Šta je tumor larinksa?
Tumor larinksa je rak grla koji utiče na larinks. Simptomi uključuju promuklost, teškoće pri disanju i ogroman kašalj. Rano otkrivanje i...
Tumor pleure: Simptomi i mogućnosti terapije
Šta je tumor pleure
Tumor pleure je abnormalna izraslina na plućnoj maramici, može biti benigni ili maligni. Najčešći uzroci su izlaganje azbestu i metastaze....
Tumor slezine: uzroci, simptomi i lečenje
Šta je tumor slezine?
Tumor slezine je retka pojava često povezana s limfomima. Može biti benigni ili maligni; dijagnostikuje se putem anamneze, laboratorijskih...
Sve što treba da znate o tumoru štitne žlezde: Uzroci i terapije
Šta je tumor štitne žlezde?
Tumori štitne žlezde označavaju nekontrolisan rast ćelija štitne žlezde. Simptomi uključuju otok, promene glasa i bol, a lečenje zavisi...
Tumor žučne kese: Dijagnoza i terapijske opcije
Šta je tumor žučne kese?
Tumor žučne kese može biti benigni ili maligni, poput adenokarcinoma. Simptomi uključuju bol, mučninu, groznicu i žuticu. Lečenje zavisi...
Uvećana prostata: Simptomi, dijagnoza i mogućnosti lečenja
Šta je uvećana prostata?
Uvećana prostata je česta kod muškaraca starijih od 50 godina, izaziva probleme pri mokrenju i može se lečiti promenama životnih navika,...
Vanmaterična trudnoća: Rani znakovi i važnost pravovremene dijagnoze
Šta je vanmaterična trudnoća?
Vanmaterična trudnoća je implantacija oplođenog jajeta van materice, najčešće u jajovodu, što je opasno po život i zahteva hitnu...
Vaskularna hirurgija: Dijagnostika i lečenje krvnih sudova
Šta je vaskularna hirurgija?
Vaskularna bolest obuhvata zdravstvena stanja koja utiču na krvne sudove i limfni sistem. Rano otkrivanje i lečenje kroz zdrav stil...
Artroza: Vodič za razumevanje i upravljanje stanjem
Artroza
Artroza je reumatsko oboljenje zglobova koje uzrokuje bol, ukočenost i smanjen obim pokreta usled habanja hrskavice. Lečenje uključuje fizikalnu terapiju,...

Promo