Šta je patela?

Patela, poznata i kao čašica kolena, je mala, trouglasta kost koja se nalazi u prednjem delu kolena. Ona je deo kolenskog zgloba i ima važnu ulogu u pokretima noge. Patela je ugrađena u tetivu mišića kvadricepsa (mišić prednje strane butine) i pomaže u prenosu sile s tog mišića na potkolenicu.
Šta je patela?Šta je patela?

Šta je fraktura patele?

Fraktura patele je prelom čašice kolena, odnosno kosti patele. To je ozbiljna povreda koja se najčešće dešava usled direktnog udara (kao što je pad na koleno ili udarac u koleno) ili snažnog naprezanja kvadricepsa.

Koji su tipovi frakture patele?

Frakture patele se klasifikuju prema obliku preloma, pomeranju fragmenata i stepenu oštećenja kosti. Glavni tipovi frakture patele su:
  • Poprečna fraktura. Prelom se pruža horizontalno preko patele. Može biti sa ili bez pomeranja fragmenata.
  • Vertikalna fraktura. Prelom ide vertikalno kroz patelu. Fragmenti obično ostaju blizu jedan drugom i manje je verovatno da će zahtevati hirurški zahvat.
  • Kominutivna fraktura. Kost se razbija na više manjih fragmenata. Često zahteva hirurški tretman zbog nestabilnosti.
  • Marginalna fraktura. Samo jedan deo patele je zahvaćen, obično rubni deo.
  • Avulziona fraktura. Deo patele se "otkida" usled jake kontrakcije kvadricepsa, obično tamo gde tetiva kvadricepsa ili patelarna tetiva prianja za kost. Često praćena ozbiljnim oštećenjem tetiva.
  • Iščašenje sa frakturom (osteohondralna fraktura) . Deo kosti i hrskavice se odvaja od patele, obično u kombinaciji sa iščašenjem kolena. Ovo je složena povreda koja može zahtevati rekonstrukciju.
  • Otvorena fraktura. Fraktura gde je kost probila kožu.. Ovo je hitno stanje koje zahteva brzu intervenciju zbog rizika od infekcije.
Svaki tip preloma zahteva različit pristup lečenju, koji se određuje na osnovu dijagnostičkih pregleda i kliničkog stanja pacijenta.

Koji su simptomi frakture patele?

Simptomi frakture patele mogu biti veoma izraženi i obično se javljaju odmah nakon povrede. Glavni simptomi su:
  • Bol u prednjem delu kolena. Intenzivan bol koji se pojačava pri pokušaju savijanja ili ispravljanja noge.
  • Oteklina. Brzo oticanje kolena zbog povrede tkiva i eventualnog nakupljanja krvi u zglobu (hemartroza) .
  • Modrice. Modrice oko kolena, koje se šire prema potkolenici. Ukazuju na oštećenje krvnih sudova.
  • Deformitet. Vidljivo pomeranje ili nepravilnost u obliku kolena (kod preloma sa pomeranjem fragmenata) .
  • Nemogućnost pokretanja noge. Teško ili nemoguće ispravljanje noge zbog oštećenja mišića kvadricepsa i tetiva.
  • Bol na dodir. Jaka bolnost kada se koleno pipne ili pritisne.
  • Problemi s hodanjem. Nemogućnost normalnog oslanjanja na nogu ili hodanja zbog bola i nestabilnosti.
Ako sumnjate na frakturu patele, veoma je važno da se odmah obratite lekaru. Nepravilno lečenje može dovesti do trajnih problema sa kolenom, uključujući gubitak pokretljivosti i hroničan bol.

Koji su uzroci frakture patele?

Fraktura patele najčešće nastaje kao posledica traume ili prekomernog opterećenja kolena. Glavni uzroci su:
Direktna trauma
  • Pad na koleno: Na primer, tokom sportskih aktivnosti ili nesreće.
  • Udarcem u koleno: U situacijama poput saobraćajnih nesreća ili industrijskih povreda.
  • Udarac tvrdim predmetom: Kao što je lopta, kamen ili drugi teški objekti.
Indirektna trauma
  • Jaka kontrakcija mišića kvadricepsa, što može izazvati povlačenje tetiva koje su pričvršćene za patelu.
  • Ovo je češće kod aktivnosti koje zahtevaju snažno ispravljanje noge, kao što su skakanje, sprint ili dizanje teških predmeta.
Pad sa visine. Kada osoba doskoči direktno na savijene noge, pritisak na koleno može uzrokovati frakturu.
Saobraćajne nesreće. Čest uzrok ozbiljnih preloma patele, naročito kada koleno udari u kontrolnu tablu ili drugi deo automobila.
Stres fraktura (zamor kosti) . Javlja se kod sportista ili ljudi koji se bave intenzivnim fizičkim aktivnostima.
Patološke frakture. Frakture izazvane slabijom strukturom kosti usled osnovnih bolesti, kao što su: osteoporoza, tumori kosti, metaboličke bolesti kosti (npr. osteomalacija), infekcije kosti (osteomijelitis) .
Povrede u sportu. Sportovi visokog intenziteta koji uključuju nagle promene pravca, skokove ili udarce, kao što su fudbal, košarka, gimnastika ili skijanje.
Pravilna zaštita, poput nošenja odgovarajuće opreme i održavanja zdravlja kostiju, može smanjiti rizik od fraktura patele.

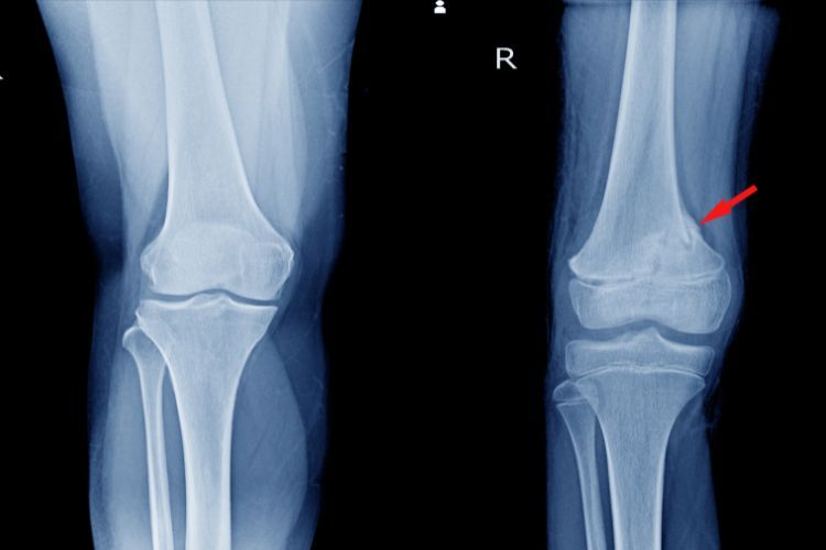
Kako se dijagnostikuje fraktura patele?

Dijagnoza frakture patele zasniva se na kombinaciji kliničkog pregleda i dijagnostičkih metoda koje omogućavaju lekaru da proceni težinu i tip povrede. Evo kako se fraktura patele dijagnostikuje:
  • Anamneza i klinički pregled. Lekar će pitati o okolnostima povrede (npr. pad, udarac) i o simptomima poput bola, otoka, poteškoća u pokretanju noge. Takođe će pitati o prethodnim povredama kolena ili bolestima koje mogu oslabiti kosti. Nakon toga lekar će uraditi fizički pregled.
  • Dijagnostički snimci
    Rendgen (RTG) . Najčešći i osnovni test za potvrdu preloma. Omogućava uvid u položaj, tip preloma (poprečni, vertikalni, kominutivni) i eventualno pomeranje fragmenata. Radi se u različitim projekcijama (prednja, bočna, aksijalna) .
    CT skener (kompjuterska tomografija) . Koristi se kod složenijih preloma da bi se bolje procenila struktura kosti i fragmenti. Pomaže u planiranju hirurškog zahvata.
    Magnetna rezonanca (MR) . Koristi se ako postoji sumnja na oštećenje mekih tkiva (tetiva, ligamenata) uz frakturu. Omogućava detaljniju procenu hrskavice i zglobnih površina.
  • Ultrazvuk. Ponekad se koristi za procenu mekih tkiva ili prisustva tečnosti u kolenu (hemartroza) . Manje je detaljan od MR, ali može biti koristan u hitnim slučajevima.
  • Laboratorijske analize. Ako postoji sumnja na infekciju (kod otvorene frakture), rade se analize krvi da bi se isključila infekcija.

Brza i tačna dijagnoza je ključna za odabir odgovarajućeg tretmana i prevenciju komplikacija, poput gubitka funkcije kolena ili hroničnog bola.

Lečenje frakture patele

Lečenje frakture patele zavisi od tipa preloma, stepena pomeranja fragmenata i opšteg stanja pacijenta. Glavni ciljevi lečenja su obnova funkcije kolena, stabilizacija patele i prevencija komplikacija. Postoje dve osnovne vrste lečenja: konzervativno i hirurško.

1. Konzervativno lečenje
  • Primenjuje se kod: Nepotpunih preloma (pukotine u kosti bez pomeranja fragmenata) i stabilnih preloma gde fragmenti ostaju u pravilnom položaju.
  • Koraci lečenja su:
    Imobilizacija (postavljanje gipsa ili ortoze za stabilizaciju kolena i sprečavanje pokreta. Koleno je obično imobilisano u ispruženom položaju) .
    Hod na štakama (oslobađanje kolena od opterećenja dok kost ne zaraste) .
    Analgetici (lekovi protiv bolova i antiinflamatorni lekovi za smanjenje bola i otoka) .
    Fizikalna terapija (Po završetku imobilizacije, fizikalna terapija se koristi za obnavljanje snage mišića kvadricepsa i pokretljivosti kolena) .
2. Hirurško lečenje
  • Potrebno je kod: Pomeranja fragmenata (više od 2-3 mm), kloznih ili otvorenih preloma sa više fragmenata (kominutivni prelomi), ozbiljnih povreda ligamenata ili tetiva uz frakturu.
  • Hirurške metode:
    Napetostna traka (najčešće korišćena tehnika za poprečne prelome. Fragmenti se povezuju žicom ili šrafovima da bi se omogućilo pravilno zarastanje) .
    Šrafovi ili pločice (koriste se kod složenijih preloma ili kada su fragmenti veći) .
    Patelektomija (uklanjanje dela ili cele patele, rezervisano za teške slučajeve gde kost ne može biti rekonstruisana.
3. Rehabilitacija
Bez obzira na vrstu lečenja, rehabilitacija je ključna za povratak funkcije kolena:
  • Postoperativna fizikalna terapija: Vežbe za povratak pokretljivosti kolena i jačanje mišića.
  • Postepeno povećanje opterećenja: Nakon nekoliko nedelja, pacijent počinje polako da opterećuje nogu, u skladu sa preporukama lekara.

Vreme oporavka

  • Konzervativno lečenje: 6-8 nedelja za zarastanje, uz dodatne nedelje za fizikalnu terapiju.
  • Hirurško lečenje: Oporavak traje 3-6 meseci, u zavisnosti od ozbiljnosti preloma.
Uz pravilno lečenje i rehabilitaciju, većina pacijenata uspešno vraća funkciju kolena, iako ponekad može ostati manji gubitak pokretljivosti ili snage.
Ažurirano: Feb 6, 2025 | Izdavač: Zdravstvena ustanova Gaj | O nama

Često postavljana pitanja

Fraktura patele je prelom čašice kolena, odnosno kosti patele, obično nastao usled direktnog udara ili naprezanja kvadricepsa.

Simptomi frakture patele uključuju bol u prednjem delu kolena, oticanje, modrice, deformitet, i nemogućnost ispravljanja noge.

Dijagnoza frakture patele se postavlja uz pomoć kliničkog pregleda i dijagnostičkih snimaka kao što su rendgen, CT skener, i magnetna rezonanca.

Termini i Definicije

Patela, ili češalj, je mala, trokutasta kost koja se nalazi na prednjem delu kolena. Njena funkcija je zaštita zgloba kolena i pomoć pri pomeranju noge.

Koleno je zglob između butne kosti i potkolenice. To je jedan od najvećih i najsloženijih zglobova u telu, koji omogućava savijanje i ispravljanje noge.

Meniskusi su dva polumesecasta hrskavična diska koja se nalaze u kolenu. Oni služe kao jastučići i pomažu u apsorpciji šoka, kao i u stabilizaciji zgloba.

Hrskavica je elastično vezivno tkivo koje pokriva i štiti krajeve kostiju unutar zglobova. Omogućava glatko kretanje i smanjuje trenje.

Ligamenti su snažna traka vezivnog tkiva koja povezuje kosti u zglobovima. U kolenu, ligamenti stabilizuju zglob i omogućavaju njegovu pravilnu funkciju.

Ovaj sistem čine kosti, mišići, zglobovi, hrskavica, tetive i ligamenti. Njegova glavna funkcija je podrška telu i omogućavanje pokreta.

Zglob je mesto susreta dve ili više kostiju, koje omogućava kostima da se kreću na različite načine. Zglobovi mogu biti pokretni, polupokretni ili nepokretni.

Tetive su vlaknaste trake tkiva koje povezuju mišiće sa kostima. One prenose silu kontrakcije mišića na kosti što omogućava kretanje.

Ortopedija je grana medicine koja se bavi dijagnozom, lečenjem, rehabilitacijom i prevencijom povreda i oboljenja mišićno-skeletnog sistema.
Vesti

Najnovije vesti

Blog
A
B
C
D
E
F
G
H
I
K
L
M
N
O
P
S
T
U
V

Promo