Prelom femura

Prelom femura se drugačije naziva prelom butne kosti.

Butna kost (femur) je najduža i najjača kost u telu. Pošto je butna kost toliko jaka, obično je potrebna velika sila da se slomi. Na primer, sudari motornih vozila su jedan od uzroka preloma butne kosti.

Dugačak, ravan deo butne kosti naziva se femoralna osovina. Kada dođe do preloma bilo gde duž ove kosti, to se naziva fraktura femoralne osovine. Ova vrsta slomljene noge skoro uvek zahteva operaciju da bi se izlečila.
Prelom femuraPrelom femura

Vrste preloma femura

Prelomi butne kosti se veoma razlikuju, u zavisnosti od sile koja izaziva prelom. Komadi kostiju mogu biti pravilno postavljeni (stabilan prelom) ili biti neusklađeni (pomeren prelom) . Koža oko preloma može biti netaknuta (zatvoreni prelom) ili kost može probiti kožu (otvoreni prelom) .

Doktori opisuju prelome jedni drugima koristeći sisteme klasifikacije. Prelomi butne kosti se klasifikuju u zavisnosti od:
  • Lokacija preloma (femoralna osovina je podeljena na trećine: distalna, srednja, proksimalna) .
  • Obrazac preloma (kost se može slomiti u različitim pravcima, na primer poprečno, po dužini ili u sredini) .
  • Da li su koža i mišić preko kosti pocepani zbog povrede.
Najčešći tipovi preloma butne kosti uključuju:
  • Poprečni prelom. Kod ove vrste preloma, prelom je ravna horizontalna linija koja ide preko butne kosti.
  • Kosi prelom. Ova vrsta preloma ima ugaonu liniju preko osovine.
  • Spiralni prelom. Linija preloma okružuje osovinu kao pruge na slatkišu. Sila uvrtanja na butinu uzrokuje ovu vrstu preloma.
  • Usitnjeni prelom. Kod ove vrste preloma, kost je polomljena na tri ili više komada. U većini slučajeva, broj fragmenata kosti odgovara količini sile koja je potrebna da se slomi kost.
  • Otvoreni prelom. Ako se kost slomi tako da fragmenti kosti vire kroz kožu ili rana prodre do slomljene kosti, prelom se naziva otvorenim ili složenim prelomom. Otvoreni prelomi često uključuju mnogo više oštećenja okolnih mišića, tetiva i ligamenata. Oni imaju veći rizik od komplikacija — posebno infekcija — i potrebno im je duže vreme da se zaleče.
Femur može pretrpeti višestruke prelome, što znači da kost može biti slomljena na više različitih mesta istovremeno.

Delovi femura

Femur, ili butna kost, može se podeliti na nekoliko delova:
  1. Glava femura: Ovo je zaobljeni deo na gornjem kraju femura koji se povezuje sa karlicom kroz zglob kuka. Glava femura se uklapa u acetabulum (čauru kuka), čime omogućava širok raspon pokreta u zglobu kuka.
  2. Vrat femura: Ovaj deo se nalazi između glave femura i tela femura. Vrat femura je uski deo koji povezuje glavu s ostatkom kosti, i često je mesto preloma, naročito kod starijih osoba.
  3. Telo femura: To je dugački, cilindrični deo femura koji se proteže od vrata do donjeg kraja kosti. Telo femura pruža potporu i snagu nogama, omogućavajući nošenje težine tela.
  4. Gornji okrajak femura: Gornji okrajak obuhvata dva izraštaja - veliki trohanter i mali trohanter. Ovi izraštaji služe kao mesto pričvršćivanja mišića kuka i butine.
  5. Donji okrajak femura: Na donjem kraju femura nalaze se dva zadebljanja, unutrašnji i spoljašnji kondil, koji učestvuju u formiranju zgloba kolena, zajedno sa tibijom (goleničnom kosti) i patelom (čašicom) .

Uzrok preloma femura

Prelom femura kod mladih ljudi su često posledica neke vrste sudara visoke energije. Najčešći uzrok preloma butne kosti je sudar motornog vozila ili motocikla. Još jedan čest uzrok je udar automobila tokom hodanja, kao i padovi sa visine i rane od vatrenog oružja.

Incident manje sile, kao što je pad iz stajanja, može izazvati frakturu butne kosti kod starije osobe koja ima slabije kosti.

Simptomi

Prelom butne kosti obično izaziva trenutni, jak bol. Nećete moći da stavite težinu na povređenu nogu i ona može izgledati deformisano - kraća od druge noge i više nije ravna.

Dijagnostikovanje preloma femura

Istorija bolesti i fizički pregled
Važno je da lekar zna specifičnosti kako ste povredili nogu. Informacije će pomoći lekaru da utvrdi kako ste povređeni.

Takođe je važno da lekar zna da li imate bilo koje drugo zdravstveno stanje, kao što su visok krvni pritisak, dijabetes, astma ili alergije. Lekar će vas takođe pitati da li koristite duvanske proizvode ili uzimate neke lekove.

Nakon razgovora o povredi i istoriji bolesti, lekar će obaviti pažljiv fizički pregled. Proceniće opšte stanje, a zatim se fokusirati na uočljive promene na nozi:
  • Očigledan deformitet butine/noge (neobičan ugao, uvijanje ili skraćivanje noge)
  • Pukotine na koži
  • Modrice
  • Koštani delovi koji možda guraju kožu.
Nakon vizuelnog pregleda, lekar će opipati butinu, nogu i stopalo tražeći abnormalnosti i proveriti zategnutost kože i mišića oko butine.

Testovi slikanja
Testovi snimanja će lekaru pružiti više informacija o povredi:
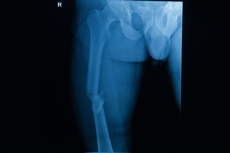
  • X-zraci. Najčešći način za procenu preloma je rendgenski snimak koji daje jasne slike kosti. Rendgenski snimci mogu pokazati da li je kost netaknuta ili slomljena. Oni takođe mogu pokazati vrstu preloma i gde se nalazi unutar butne kosti.
  • Kompjuterska tomografija (CT skener) . Ako je lekaru i dalje potrebno više informacija nakon pregleda rendgenskih snimaka, mogu uraditi CT skeniranje. CT skeniranje pokazuje sliku poprečnog preseka ekstremiteta. Ovaj snimak može da pruži lekaru vredne informacije o težini preloma. Na primer, ponekad linije preloma mogu biti veoma tanke i teško ih je videti na rendgenskom snimku. CT skeniranje može pomoći da se jasnije vide linije.
  • Magnetna rezonanca (MR) . U pojedinim situacijama biće potrebno da se uradi snimak magnetne rezonance kako bi lekar imao jasnu sliku o oštećenjima mišića, tetiva i ligamenata (do ovih oštećenja najčešće dolazi kod otvorenih preloma) .

Lečenje preloma femura

Postoje hirurški i nehirurški načini lečenja.

Nehirurški tretman
Većina preloma butne kosti zahteva operaciju za zarastanje. Neobično je da se prelomi butne kosti leče bez operacije. Veoma mala deca se ponekad leče gipsom.

Hirurško lečenje
  • Vreme operacije. Većina preloma butne kosti se fiksira u roku od 24 do 48 sati. Povremeno, fiksacija će biti odložena dok se druge povrede opasne po život ili nestabilno zdravstveno stanje ne stabilizuju. Da bi se smanjio rizik od infekcije, otvoreni prelomi se leče antibioticima čim stignete u bolnicu. Otvorena rana, tkiva i kost biće očišćeni tokom operacije. Za vreme između početne hitne pomoći i operacije, lekar može da stavi nogu ili u udlagu za dugu nogu ili u trakciju. Ovo je da bi slomljene kosti bile što je moguće poravnanije i da bi se održala dužina noge. Skeletna vuča je koloturni sistem utega i protivtega koji drži slomljene komade kosti zajedno. Drži nogu ravnom i često pomaže u ublažavanju bolova.
  • Spoljna fiksacija. U ovoj vrsti operacije, metalne igle ili šrafovi se postavljaju u kost iznad i ispod mesta preloma. Igle i šrafovi su pričvršćeni za šipku izvan kože. Ovaj uređaj je stabilizirajući okvir koji drži kosti u pravilnom položaju. Spoljašnja fiksacija je obično privremeni tretman preloma butne kosti. Zbog lakoće primene, eksterni fiksatori se često stavljaju kada pacijent ima višestruke povrede i još nije spreman za dužu operaciju fiksiranja preloma. Spoljni fiksator obezbeđuje dobru, privremenu stabilnost dok pacijent ne bude dovoljno zdrav za završnu operaciju. U nekim slučajevima, spoljni fiksator se ostavlja uključen dok butna kost potpuno ne zaraste, ali to nije uobičajeno.
  • Intramedularno zakucavanje. Trenutno, metoda koju većina hirurga koristi za lečenje preloma butne kosti je intramedularno zakucavanje. Tokom ove procedure, posebno dizajnirana metalna šipka se ubacuje u kanal butne kosti. Šipka prolazi preko preloma da bi je zadržala na mestu. Intramedularni ekser se može ubaciti u kanal bilo u kuku ili kolenu. Vijci se postavljaju iznad i ispod preloma da drže nogu u ispravnom položaju dok kost zaceljuje. Intramedularni ekseri su obično napravljeni od titanijuma. Dolaze u različitim dužinama i prečniku da odgovaraju većini kostiju butne kosti.
  • Ploče i šrafovi. Tokom ove operacije, fragmenti kosti se prvo repozicioniraju (reduciraju) u njihov normalan položaj. Drže se zajedno sa zavrtnjima i metalnim pločama pričvršćenim za spoljnu površinu kosti. Ploče i šrafovi se često koriste kada intramedularno zakucavanje možda nije moguće, kao na primer kod preloma koji se protežu u zglobove kuka ili kolena.
Ažurirano: Jan 30, 2025 | Izdavač: Zdravstvena ustanova Gaj | O nama

Često postavljana pitanja

Prelom femura, ili prelom butne kosti, je fraktura najduže i najjače kosti u telu. Obično je potrebna velika sila da se femur slomi, kao kod sudara motornih vozila.

Najčešći tipovi preloma uključuju poprečni prelom, kosi prelom, spiralni prelom, usitnjeni prelom i otvoreni prelom. Svaka vrsta se razlikuje prema obrascu frakture i položaju kostiju.

Prelom femura se najčešće leči hirurškim metodama kao intramedularno zakucavanje, gde se metalna šipka postavlja unutar kanala butne kosti da stabilizuje prelom. Nehirurški tretmani su retki.

Termini i Definicije

Prelom femura odnosi se na lomljenje ili pucanje butne kosti, koja se medicinski naziva femur. Femur je najduža i najjača kost u ljudskom telu, odgovorna za pridržavanje tela i omogućavanje pokreta nogu.

Femur je butna kost i najduža kost u ljudskom telu, koja povezuje kuk i koleno. Njegova glavna funkcija je podrška tela i omogućavanje pokreta nogu.

Ortopedija je grana medicine koja se bavi dijagnozom, lečenjem, prevencijom i rehabilitacijom problema mišićno-skeletnog sistema, koje uključuju kosti, zglobove, mišiće, ligamente, tetive i živce.

Fraktura je medicinski termin za slomljenu kost. Frakture se klasifikuju prema obliku, lokaciji i stepenu loma, a mogu biti uzrokovane traumom, stresom ili patologijom koja slabi kosti.

Rehabilitacija predstavlja proces putem kojeg osoba povraća snagu, mobilnost i funkcionalnost mišićno-skeletnog sistema nakon povrede ili operacije. Uključuje fizioterapiju i druge tretmane kako bi se poboljšao oporavak.

Imobilizacija je medicinski postupak kojim se povređeni deo tela drži u fiksnom položaju kako bi se omogućilo pravilno zarastanje. Kod preloma femura, najčešće se koristi gips ili specijalne proteze.

Osteosinteza je hirurška procedura koja uključuje stabilizaciju i učvršćivanje slomljenih kostiju koristeći metalne ploče, šrafove, pinove ili šipke. Cilj je vraćanje normalne anatomije i funkcionalnosti.

Kompresija kosti označava pritisak ili stiskanje kosti, što može dovesti do njenog slabljenja ili preloma. Ovaj termin se često koristi u kontekstu spiralnih ili kompresionih preloma.

Protetika je grana medicine koja se bavi dizajniranjem, izradom i montiranjem veštačkih delova tela, koji mogu nadomestiti ili poboljšati funkcionalnost izgub ovog nakon povrede ili amputacije.
Vesti

Najnovije vesti

Blog
A
B
C
D
E
F
G
H
I
K
L
M
N
O
P
S
T
U
V

Promo