Šta je glioblastom (GBM) ?

Glioblastom je agresivni tumor mozga koji se razvija iz glijalnih ćelija, koje podržavaju i štite nerve u centralnom nervnom sistemu. Ovo je najčešći i najsmrtonosniji tip primarnih tumora mozga kod odraslih. Glioblastom može brzo rasti i širi se u okolno tkivo, što otežava potpuno uklanjanje hirurškim putem.

Koji su simptomi glioblastoma (GBM) ?

Simptomi glioblastoma (GBM) mogu varirati u zavisnosti od lokacije tumora i njegovih dimenzija, ali neki od najčešćih simptoma uključuju:
  • Glavobolje - često se javljaju, posebno ujutro.
  • Promene u vidu - zamagljen vid, dvostruki vid ili gubitak vida.
  • Poteškoće sa govorom - otežano razumevanje ili izražavanje.
  • Problemi s ravnotežom ili koordinacijom - nesigurnost ili padovi.
  • Konfuzija i promene u ličnosti - gubitak memorije, emocionalne promene ili promene u ponašanju.
  • Mučnina i povraćanje - često uzrokovane povišenim intrakranijalnim pritiskom.
  • Napadi - mogu se javiti, čak i kod osoba koje prethodno nisu imale epileptične napade.
Ako neko ima ove simptome, važno je potražiti medicinsku pomoć za dalju dijagnostiku i evaluaciju.
Šta je glioblastom (GBM)?Šta je glioblastom (GBM)?

Šta uzrokuje glioblastom (GBM) ?

Uzroci glioblastoma (GBM) nisu potpuno razjašnjeni, ali postoji nekoliko faktora koji se povezuju s njegovim razvojem:
  • Genetske mutacije - određene genetske promene, poput mutacija u genima TP53, EGFR i PTEN, mogu doprineti razvoju tumora.
  • Izloženost zračenju - prethodna radioterapija glave može povećati rizik od razvoja glioblastoma.
  • Porodična istorija - nasljedne genetske sindrome, kao što su Li-Fraumeni sindrom ili neurofibromatoza, mogu povećati rizik.
  • Starosna dob - glioblastom je češći kod starijih osoba, iako se može javiti i kod mladih.
  • Ekološki faktori - neka istraživanja sugerišu da izloženost određenim hemikalijama ili pesticidima može biti povezana s rizikom, ali to zahteva dalja istraživanja.
Iako su ovi faktori identifikovani, tačan uzrok glioblastoma ostaje predmet istraživanja.

Koji su faktori rizika za glioblastom?

Faktori rizika za glioblastom (GBM) uključuju:
  • Starosnu dob - najčešće se javlja kod odraslih između 45. i 70. godine.
  • Pol - muškarci su nešto skloniji razvoju GBM-a od žena.
  • Porodičnu istoriju - nasljedne bolesti poput Li-Fraumeni sindroma ili neurofibromatoze povećavaju rizik.
  • Prethodnu izloženost zračenju - posebno zračenju glave, kao deo lečenja drugih tumora.
  • Ekološke faktore - izloženost nekim hemikalijama ili pesticidima može povećati rizik, iako su potrebna dodatna istraživanja.
  • Imuni status - osobe s oslabljenim imunološkim sistemom, poput onih sa HIV-om, imaju veći rizik.
Ovi faktori ne garantuju razvoj glioblastoma, ali mogu povećati verovatnoću pojave bolesti.

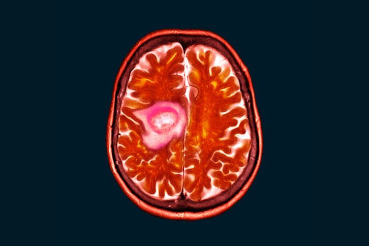
Kako se dijagnostikuje glioblastom (GBM) ?

Dijagnostika glioblastoma (GBM) obično uključuje nekoliko koraka:
  1. Klinička procena - lekari prikupljaju anamnezu, pregledavaju simptome i vrše neurološke preglede.
  2. Imaginološke pretrage:
    • CT skeniranje - Komjuterska tomografija može pokazati prisustvo tumora i njegovu lokaciju.
    • MR - Magnetna rezonanca pruža detaljnije slike mozga i pomaže u proceni veličine i vrste tumora.
  3. Biopsija - uzimanje uzorka tkiva iz tumora za histopatološku analizu. Ovo može biti izvedeno tokom hirurške resekcije ili kao stereotaktička biopsija.
  4. Molekularne analize - proučavanje genetskih karakteristika tumora kako bi se odredile specifične mutacije koje mogu uticati na tretman.
  5. Dodatne pretrage - ponekad se koriste i druge dijagnostičke metode, poput PET skeniranja, za procenu metabolizma tumora.
Ove procedure pomažu lekarima da potvrde dijagnozu i razviju adekvatan plan lečenja.

Kako se leči glioblastom (GBM) ?

Lečenje glioblastoma (GBM) obično uključuje kombinaciju različitih terapija, a pristup se može prilagoditi individualnim potrebama pacijenta. Glavne metode lečenja uključuju:
  • Hirurška resekcija: Cilj je ukloniti što veći deo tumora, što može smanjiti simptome i poboljšati ishode lečenja.
  • Radioterapija: Obično se sprovodi nakon operacije kako bi se uništile preostale tumorske ćelije. Standardno se koristi konformna radioterapija.
  • Hemoterapija: Najčešće se koristi temozolomid, koji se često primenjuje nakon radioterapije kako bi se smanjila mogućnost povratka tumora.
  • Ciljana terapija: Lekovi koji ciljaju specifične molekularne putanje u ćelijama tumora mogu se koristiti u nekim slučajevima.
  • Imunoterapija: Ova metoda koristi imunološki sistem pacijenta za borbu protiv tumora i može uključivati različite pristupe, kao što su vakcine ili monoklonska antitela.
  • Kliničke studije: Učešće u istraživanjima novih tretmana može biti opcija za pacijente, što može otvoriti mogućnosti za inovativne pristupe lečenju.
Sve ove metode mogu biti deo multidisciplinarnog pristupa, a lekar će zajedno s pacijentom odlučiti o najboljem planu lečenja.

Kako možete sprečiti glioblastom?

Nažalost, ne postoje sigurni načini za prevenciju glioblastoma (GBM) jer su uzroci bolesti često nepoznati. Međutim, postoje neki opšti koraci koji mogu pomoći u smanjenju rizika:
  • Izbegavanje izloženosti zračenju: Smanjite izloženost zračenju, posebno u području glave, osim kada je to neophodno za medicinske svrhe.
  • Zdrav način života: Održavanje zdrave ishrane, redovno vežbanje i prestanak pušenja mogu doprineti opštem zdravlju i potencijalno smanjiti rizik od raznih bolesti.
  • Kontrola hemijskih izloženosti: Ako radite u okruženju gde ste izloženi hemikalijama ili pesticidima, koristite zaštitu i pratite sigurnosne mere.
  • Genetsko savetovanje: Ako imate porodičnu istoriju tumora ili genetske sindrome, razmislite o genetskom savetovanju kako biste razgovarali o rizicima i preventivnim merama.
  • Redovni lekarski pregledi: Održavanje redovnih pregleda može pomoći u ranom otkrivanju bilo kakvih zdravstvenih problema.
Iako ovi koraci ne garantuju prevenciju glioblastoma, mogu doprineti opštem zdravlju i smanjenju rizika od nekih vrsta bolesti.
Ažurirano: Feb 3, 2025 | Izdavač: Zdravstvena ustanova Gaj | O nama

Često postavljana pitanja

Simptomi mogu varirati, ali najčešći uključuju glavobolje, promene u vidu, otežan govor, probleme s ravnotežom, konfuziju, mučninu, i napade.

Dijagnostika uključuje kliničku procenu, imaginološke pretrage (CT i MR), biopsiju, i molekularne analize.

Lečenje uključuje hiruršku resekciju, radioterapiju, hemoterapiju, ciljanu terapiju, imunoterapiju, i učešće u kliničkim studijama.

Termini i Definicije

Glioblastom, ili GBM, je najagresivniji oblik malignog tumora mozga. Pripada kategoriji glioma i klasifikovan je kao IV stepen prema Svetskoj zdravstvenoj organizaciji (SZO). Raste brzo i invazivno, zahvatajući okolno moždano tkivo, što ga čini teško izlečivim.

Malignitet označava zloćudnost tumora, što znači da ima sposobnost da invazivno raste u susedna tkiva i da se širi (metastazira) na druge delove tela, što značajno otežava lečenje.

Radioterapija je način lečenja tumora upotrebom zračenja visokog intenziteta za ubijanje ćelija raka ili sprečavanje njihovog rasta i deljenja. Često se koristi u kombinaciji s hirurgijom i hemoterapijom u lečenju glioblastoma.

Hemoterapija je način lečenja koji koristi lekove za uništavanje ćelija raka ili sprečavanje njihove deobe. Ti lekovi mogu biti uzeti oralno ili dati intravenski, i često se koriste kao deo kombinovane terapije za tumore kao što je glioblastom.

Magnetna rezonanca je neinvazivna dijagnostička tehnika koja koristi magnetna polja i radio talase za stvaranje detaljnih snimaka unutrašnjih organa i tkiva u telu. MRI je kritična u dijagnostici, praćenju i planiranju tretmana za tumore mozga kao što je glioblastom.
Vesti

Najnovije vesti

Blog
A
B
C
D
E
F
G
H
I
K
L
M
N
O
P
S
T
U
V

Promo