Encefalitis

Encefalitis je upala mozga koja može biti uzrokovana virusnim infekcijama, bakterijama, parazitima, autoimunim reakcijama, ili čak određenim lekovima i vakcinama.

Koje vrste encefalitisa postoje i koji su njihovi uzroci?

Encefalitis se može podeliti na nekoliko vrsta u zavisnosti od uzroka i načina na koji se manifestuje. Glavne vrste encefalitisa uključuju:
Virusni encefalitis:
Najčešća vrsta encefalitisa, uzrokovana različitim virusima. Neki od najpoznatijih virusa koji mogu izazvati encefalitis su:
  • Herpes simpleks virus (HSV) : Ovaj virus je jedan od najčešćih uzročnika ozbiljnog encefalitisa.
  • Virus zapadnog Nila: Prenosi se ugrizom zaraženog komarca.
  • Enterovirusi: Mogu izazvati blaže oblike encefalitisa.
  • Varicella-zoster virus (VZV) : Virus koji uzrokuje ovčije boginje i herpes zoster.
EncefalitisEncefalitis

Bakterijski encefalitis:
Ređe od virusnog, ovaj oblik može biti uzrokovan bakterijama kao što su:
  • Borelia burgdorferi: Bakterija koja izaziva Lajmsku bolest i može dovesti do encefalitisa.
  • Mycobacterium tuberculosis: Uzročnik tuberkuloze, može izazvati tuberkulozni meningitis koji ponekad prelazi u encefalitis.
Autoimuni encefalitis:
Nastaje kada imunološki sistem napada sopstveni mozak. Primeri uključuju:
  • Encefalitis izazvan NMDA receptor antitelima: Autoimuna reakcija protiv NMDA receptora u mozgu, često povezana s tumorskim procesima.
  • Rasmussenov encefalitis: Retka, hronična upalna bolest koja zahvata jedan deo mozga, uglavnom kod dece.
Parazitski i gljivični encefalitis:
Ređi oblici encefalitisa izazvani parazitima ili gljivicama. Primeri uključuju:
  • Toksoplazmoza: Parazitska infekcija koja može izazvati encefalitis, posebno kod osoba sa oslabljenim imunološkim sistemom.
  • Kriptokokalni encefalitis: Uzrokovan gljivom Cryptococcus, često se javlja kod osoba sa HIV-om.
Postinfektivni encefalitis:
Ovaj oblik se javlja kao komplikacija nakon infekcije, obično kao rezultat autoimunog odgovora. Može biti povezan sa bolestima poput boginja, zauški ili rubeola.

Svaka od ovih vrsta encefalitisa zahteva različit pristup lečenju, a dijagnoza se obično postavlja na osnovu kliničkih simptoma, laboratorijskih nalaza i snimanja mozga.

Koji su simptomi encefalitisa?

Simptomi encefalitisa mogu varirati u zavisnosti od uzroka, ozbiljnosti upale i dela mozga koji je pogođen. Međutim, neki od najčešćih simptoma uključuju:
Opšti simptomi:
  • Glavobolja: Obično jaka i uporna.
  • Groznica: Povišena telesna temperatura.
  • Umor i slabost: Osobe se često osećaju iscrpljeno.
Neurološki simptomi:
  • Konfuzija i dezorijentacija: Problemi sa razumevanjem ili obradom informacija.
  • Promene u ponašanju: Razdražljivost, anksioznost, ili čak agresija.
  • Napadi (epileptični napadi) : Mogu se manifestovati kao trzaji mišića, gubitak svesti ili druge vrste napada.
  • Gubitak svesti: U teškim slučajevima može doći do kome.
  • Problemi sa govorom ili razmišljanjem: Poteškoće u govoru ili razumevanju reči.
  • Osetljivost na svetlo (fotofobija) : Neprijatnost ili bol u očima pri izloženosti svetlu.
  • Problemi sa kretanjem: Gubitak ravnoteže, slabost u mišićima ili problemi sa koordinacijom.
Simptomi povezani sa povišenim intrakranijalnim pritiskom (usled oticanja mozga) :
  • Mučnina i povraćanje: Često prisutni uz jaku glavobolju.
  • Zamagljen vid: Problemi sa vidom zbog oticanja oko optičkih nerava.
  • Ukočenost vrata: Znak iritacije moždanih ovojnica, sličan simptomu meningitisa.
Simptomi kod dece i beba:
  • Iritabilnost i neutešan plač: Beba može biti izuzetno nemirna.
  • Povraćanje i smanjena želja za hranom: Beba može odbijati hranu.
  • Izbočena fontanela: Mekani deo na vrhu glave može biti izbočen zbog pritiska.
  • Letargija: Preterana pospanost ili teškoće u buđenju.
Simptomi encefalitisa mogu brzo napredovati, pa je važno brzo potražiti medicinsku pomoć ukoliko se sumnja na ovu bolest. Rana dijagnoza i lečenje su ključni za smanjenje rizika od dugotrajnih komplikacija.

Dijagnostikovanje encefalitisa

Dijagnostikovanje encefalitisa zahteva kombinaciju kliničkih procena, laboratorijskih testova i snimanja mozga kako bi se potvrdila upala mozga i identifikovao uzrok. Evo koraka koji se obično preduzimaju u dijagnostičkom procesu:
Anamneza i klinički pregled:
  • Anamneza: Lekar će pitati o simptomima, nedavnim infekcijama, putovanjima, vakcinacijama i izloženosti određenim virusima ili toksinima.
  • Neurološki pregled: Ispituju se refleksi, koordinacija, mentalni status, mišićna snaga i drugi neurološki znaci kako bi se identifikovali simptomi encefalitisa.
Lumbalna punkcija (analiza cerebrospinalne tečnosti) :
Ovim postupkom se uzima uzorak cerebrospinalne tečnosti (CSF) iz kičmene moždine. Analiza CSF-a može pokazati znake infekcije ili upale, poput povišenog broja belih krvnih zrnaca, povećane količine proteina i prisustva virusa ili bakterija.

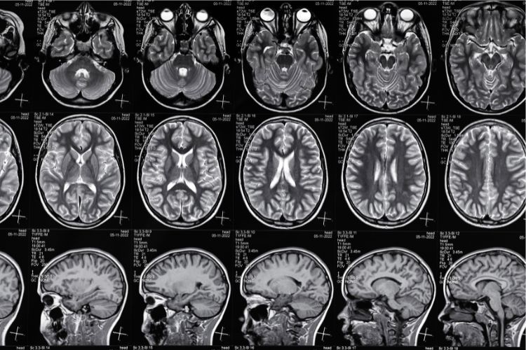
Snimanje mozga:
  • Magnetna rezonanca (MR) : MR snimak može otkriti oticanje mozga, upalu ili lezije specifične za određeni uzrok encefalitisa.
  • Kompjuterska tomografija (CT) : CT skeniranje se koristi kada MR nije dostupno ili je kontraindikovano. Takođe može pokazati oticanje ili druge strukturne abnormalnosti u mozgu.
Elektroencefalografija (EEG) :
Ovaj test meri električnu aktivnost mozga i može otkriti abnormalnosti tipične za encefalitis, kao što su epileptiformni obrasci ili usporene talasne aktivnosti.

Laboratorijske analize krvi i drugih telesnih tečnosti:
  • Krvni testovi: Mogu se koristiti za otkrivanje markera upale, kao što su C-reaktivni protein (CRP) i sedimentacija eritrocita (ESR), kao i za identifikaciju virusa, bakterija ili antitela koji ukazuju na autoimuni encefalitis.
  • Serološka testiranja: Ova testiranja traže specifična antitela protiv virusa ili bakterija u krvi ili CSF-u.
Biopsija mozga (retko se radi) :
U retkim slučajevima, kada dijagnoza nije jasna ili kada se stanje pacijenta ne poboljšava uz standardno lečenje, može se uzeti mali uzorak moždanog tkiva za laboratorijsku analizu.

Dijagnostikovanje encefalitisa može biti izazovno zbog različitih uzroka i simptoma, pa je neophodna temeljna evaluacija i često multidisciplinarni pristup kako bi se postavila tačna dijagnoza i započelo odgovarajuće lečenje.

Lečenje encefalitisa

Lečenje encefalitisa zavisi od uzroka, ozbiljnosti simptoma i opšteg stanja pacijenta. Ciljevi lečenja su smanjenje upale, kontrola simptoma i lečenje osnovnog uzroka infekcije ili autoimune reakcije. Evo osnovnih pristupa u lečenju encefalitisa:
Lečenje virusnog encefalitisa
  • Antivirusni lekovi: Ako je encefalitis uzrokovan virusom, kao što je herpes simpleks virus (HSV), najčešće se koriste antivirusni lekovi. Ovi lekovi su najučinkovitiji kada se daju što je ranije moguće nakon pojave simptoma.
  • Simptomatsko lečenje: Lekovi za snižavanje temperature, ublažavanje glavobolje i kontrolu napada (antiepileptici) se često koriste.
  • Podrška funkcijama organa: U teškim slučajevima, može biti potrebna podrška disanju putem mehaničke ventilacije ili intravenska rehidracija i ishrana.
Lečenje bakterijskog encefalitisa
  • Antibiotici: Kada je encefalitis izazvan bakterijskom infekcijom, daju se intravenski antibiotici kako bi se što pre suzbila infekcija. Na primer, encefalitis izazvan Lajmskom bolešću leči se antibioticima kao što su doksiciklin ili ceftriakson.
  • Terapija za meningitis: Ako je encefalitis povezan sa bakterijskim meningitisom, može biti potrebna dodatna terapija usmerena na meningitis.
Lečenje autoimunog encefalitisa
  • Kortikosteroidi: Lekovi poput prednizona se koriste za smanjenje upale i supresiju imunološkog sistema.
  • Imunosupresivi: Lekovi kao što su azatioprin ili ciklosporin mogu biti potrebni da bi se kontrolisala dugotrajna autoimuna aktivnost.
  • Plazmafereza i intravenski imunoglobulini (IVIG) : Ove terapije se koriste za uklanjanje autoantitela iz krvi i jačanje imunološkog sistema, posebno kod težih slučajeva autoimunog encefalitisa.
Lečenje encefalitisa često zahteva multidisciplinarni pristup koji uključuje infektologe, neurologe, imunologe i druge specijaliste kako bi se obezbedila sveobuhvatna nega. Rana dijagnoza i pravovremeno lečenje su ključni za smanjenje rizika od ozbiljnih komplikacija i dugotrajnog oštećenja mozga.
Ažurirano: Feb 3, 2025 | Izdavač: Zdravstvena ustanova Gaj | O nama

Često postavljana pitanja

Encefalitis se može podeliti na nekoliko vrsta: virusni (uzrokovan virusima poput herpes simpleks virusa), bakterijski (uzrokovan bakterijama kao što su Borrelia burgdorferi), autoimuni (na primer, encefalitis izazvan NMDA receptor antitelima), i parazitski i gljivični (izazvan parazitima ili gljivicama kao što je Toksoplazmoza).

Simptomi encefalitisa uključuju opšte simptome kao što su glavobolja, groznica, i umor, neurološke simptome kao što su konfuzija, promene u ponašanju, i napadi, te simptome povišenog intrakranijalnog pritiska kao što su mučnina i ukočenost vrata.

Dijagnostikovanje encefalitisa uključuje anamnezu i klinički pregled, lumbalnu punkciju za analizu cerebrospinalne tečnosti, snimanje mozga (MR ili CT), EEG za merenje moždane aktivnosti, i laboratorijske analize krvi i telesnih tečnosti kako bi se identifikovao uzrok upale.

Termini i Definicije

Encefalitis je upala moždanog tkiva. Ovo stanje može nastati zbog infekcije virusima, bakterijama ili drugim mikroorganizmima, kao i zbog autoimunih reakcija. Simptomi obuhvataju glavobolju, groznicu, konfuziju, i čak konvulzije u težim slučajevima.

Autoimuna reakcija je imunološki odgovor u kojem organizam greškom napada sopstvena tkiva, prepoznajući ih kao pretnju. Ovakve reakcije mogu uzrokovati različita medicinska stanja, uključujući encefalitis.

Konvulzije su nagle, nenamerne kontrakcije mišića koje mogu biti simptom ozbiljnijih neuroloških problema, kao što je encefalitis.
Vesti

Najnovije vesti

Blog
A
B
C
D
E
F
G
H
I
K
L
M
N
O
P
S
T
U
V

Promo